スマイルライン歯科インプラントセンターの世界
スマイルライン歯科インプラントセンターの世界
よくあるall on 4のご質問
2010年9月18日土曜日
よくお電話などでインプラントの質問をうけるのですが、最も多いのが忙しいので見た目が一日でも
よくないと困るということです。当院で行っているall on 4 は全部仮歯まで一日で行いますので、
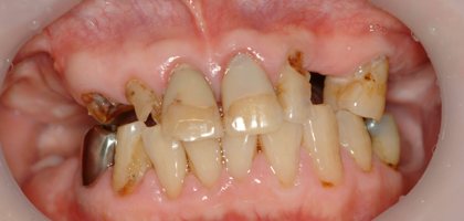
一日も歯がないという状態はありません。 この写真の方も前歯しか残っていませんが、インプラント手術当日まで前歯は残しておいて、その当日に抜歯、インプラントを入れて仮歯を固定しています。つまり、歯は一日で入るので、歯が無い、見た目が悪いという状態は全くありませんので、ご心配なく。大分県大分市スマイルライン歯科ではオールオンフォー(all- on- 4)の治療を全国でもいち早く行い数多くの症例を手掛けてきました。そして治療を行ったすべての患者様に喜んで頂いておりますのでご希望の方はまず、CTレントゲンなどで骨の形を診査しますのでお問い合わせください。
大分県大分市でインプラント、all on 4 をするならスマイルライン歯科
受付時間 月、木、金、土 10:00〜19:00
火、日 9:00〜14:00
tel 097−592−8844
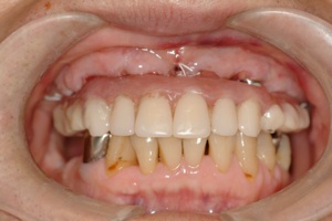
先日行ったall on 4の症例の写真です
前歯しかない患者様で前歯がないと見た目が困るということでお越しになりました
その日入った仮歯です、もちろん固定式で、入れ歯のような取り外しは当日から必要ありません。