smileline implant dental clinic blog
smileline implant dental clinic blog
最近治療が完了したall-on-4
2015年6月4日木曜日
矯正治療の写真ばかり最近載せているので、インプラントの症例もご紹介したいと思います。上顎の歯がぐらぐらになり、それがきっかけでお越しになられた患者様です。このような歯のなくなっていくパターンというのはかなり多いです。
1虫歯などで奥歯がダメになり抜歯になる
2歯がなくなり、隣の歯に負担がかかり、またその歯もダメになっていく
3奥歯がなくなり、入れ歯を作るも違和感が大きくて入れ歯をいれずに前歯で噛む
4前歯がだめになってきて今度は差し歯で歯を繋ぐ(ブリッジ)
5歯を繋いで固定すると歯が悪くなっても気づかない
6最後繋いだ歯が全部悪くなり、その頃になると繋いだ歯全部が動き出し噛めなくなる
7総入れ歯になる
今回は総入れ歯はいやということでインプラントでall- 0n-4(オールオンフォー)を行うことになりました。当院では上顎の場合ほとんどオールオン6にしています。なぜなら下顎より上顎の方が骨が柔らかいのでなるべく本数を多くした方が即時荷重(手術当日に固定式の仮の歯をいれる)に有利だからです
一昔前まではこのように歯が悪くなったら総入れ歯しかない時代ですが、今ではこのようにしっかり噛めるようになるだけでなく、見た目もかなり改善されるので、患者様のQOL(クオリティーオブライフ)もかなり上がる治療と自負しています。
ただし保険外治療なので治療費は高くなりますが・・・
QOLがドラスティックに上がる医療としてオールオンフォーは自信を持って薦める治療なので、いつか政府がこの治療を認めて保険対象になればいいなと願っています。
大分県大分市でインプラント、all on 4 矯正 の治療をするならスマイルライン歯科
受付時間 月、木、金、土 10:00〜19:00
火、日 9:00〜14:00
tel 097−592−8844
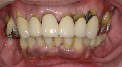
前歯に連結固定した差し歯が入っています。おそらく奥歯がなりなり、噛めなくなるので、前歯でしっかり噛めるように連結固定したのだと思いますが・・
治療前の写真です。前歯がぐらぐらになっています
奥歯がなくなり、前歯ばかりで噛んでいるとフレアーアウトといって前歯がどんどん前に傾いて出てきます。
中途半端に悪い歯を残すと、後々治療が大変になるので思い切ってすべての歯を抜歯します
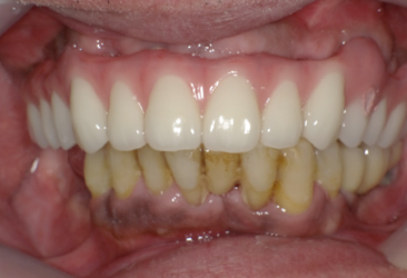
術直後の写真です
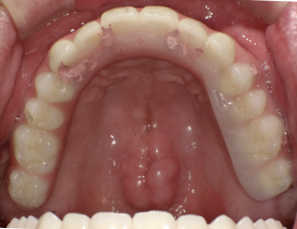
オールオン6本のインプラントをいれました
初期固定もよかったので即時荷重をおこなっています
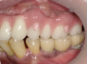
術後2週間 傷もきれいに治ってきています
術後の写真です。フレアーアウトした分、歯を引っ込めてかみ合わせも若干高くしています。
術前の口元と別人になっているのが分かると思います。
オールオンフォーの良いところはこのように好きなように歯を並べることができることです。
欠点は清掃が難しいこと、ネジ式なのでネジの穴の部分に仮の蓋をつけないといけないので少し審美が劣るところです。