インプラントとは自分の歯と全く変わらず使うことができる人工の歯根のことです
大分県大分市のスマイルライン歯科ではそのままではインプラント治療ができない場合でも骨移植、サイナスリフトなどのオプション治療も手がけています。
インプラントとは自分の歯と全く変わらず使うことができる人工の歯根のことです
大分県大分市のスマイルライン歯科ではそのままではインプラント治療ができない場合でも骨移植、サイナスリフトなどのオプション治療も手がけています。
インプラントについての多く聞かれる質問
インプラントとは歯を失った場合に代用する人工の差し歯のことです。一昔前までは歯がなくなった場合、ブリッジか取り外し式の入れ歯しか治療の方法はありませんでしたが、今はインプラント治療が発達して全く自分の歯と変わらない状態に復元することが可能になりました。
インプラントはチタン金属によって作られた人工の歯根のことです。チタンという金属は生体に親和性が高く、骨と結合する(英語でオッセオインテグレーションといいます)特性があります。それにより歯茎の中の骨を利用し、インプラントを歯茎の中の骨に埋め込み、それに歯を被せて、咀嚼することができるようになります。患者様の中でよく質問されるのが差し歯という意味ですが、従来の差し歯とは自分の歯の根っこが残っている場合、それに歯を差し込むという意味で、歯を抜歯していまうと、根っこもなくなりますので、その場合、従来の差し歯は作ることはできません。ですから歯を失った場合の差し歯とはこのインプラントを意味します。
Q1.インプラントの治療は痛くないですか?
歯茎の中に埋め込むというとものすごい痛いイメージがありますが、局所麻酔を十分効かせて手術しますので、ひどい痛みはありません。痛みに対しての個人差はありますが、術中骨を削る振動によって不快感があることと、術後麻酔が切れかける頃多少痛みがでる程度です。その場合も痛み止めを服用することによって痛みを軽減できますので、それほど大きな苦痛はないといえると思います。ただし、術後必ず歯茎は内出血しますので、3,4日多少腫れることがあります。
Q2 今通っている医院でインプラントはできないといわれました。そちらで治療はできますか?
骨 の中に埋め込みますので骨のボリュームがない場合はできません。しかし現在骨のボリュームを人工骨などで、増やす移植技術も発達していますので、ケース によってはほとんどの場合、インプラントが可能になってきています。スマイルライン歯科ではそのような移植技術についても十分な検査のもとに行っておりますので、他院で不可能と言われた方でもご相談頂けたらと思います。しかし、タバコを多く吸われる方、糖尿病、骨粗しょう症の方はできない場合があります。
Q3 インプラントはどれくらいもちますか?
統計的には95%が10年以上もつことが証明されています。イ ンプラントも一度骨に結合すれば、咬合力に耐えることはできますが、インプラントの周りがいつも食べかすで汚れていたり、過度の力がかかったりすると悪く なったりしますので、手入れが重要であるということと、車の車検と一緒で、定期的に診察させていただくことが一生もたせるためのカギと思っていただいてよいでしょう。
ですから、当院でもインプラントをする場合は十分な検査はもちろん、お口の中が汚れている場合はそれがきれいにできる力を患者さんがつけてもらうことを必ず条件としています。
Q4 インプラントの治療はいくらかかりますか?
当院では、上の歯まで作って1歯32万円です。サイナスリフト10万円、オールオンフォーは片顎(上下別々)200万円です。これに消費税がかかります。本数が多くなったり、骨移植がオプションで含まれると価格も上下しますので、まずはカウンセリングでおたずね下さい。また、当院のインプラントは4ヶ月から6ヶ月毎のメンテナンスを条件に10年間無償の保証をつけています。
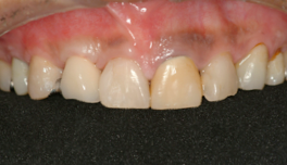
当歯科院症例写真
インプラントとはどんなものですか?
インプラントイメージ図
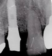
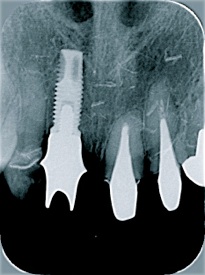
前歯の差し歯が折れて
抜歯した症例です
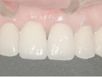
どの歯がインプラントかわかりません。
特に前歯のインプラントは審美性が
求められるので、
繊細な技術が必要です。
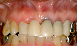
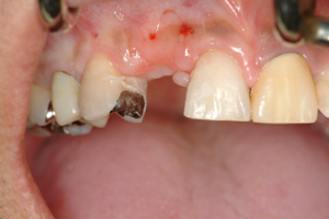
右の前歯が一本ありません。
最初の仮歯の状態です。
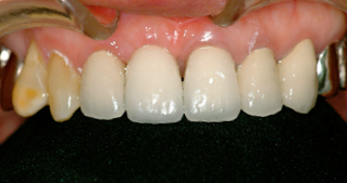
症例2
前歯の場合笑った時の歯の
見え方、歯茎の見え方も注意してインプラントの位置を考え
なければなりません。
他の残っているご自分の歯に
形を合わせないと審美的に
満足はえられません。
大分県大分市でインプラント、歯周病の治療に取り組む歯科医院
大分県で唯一紫外線照射インプラント治療を行っている歯科医院
Q5 光機能化インプラントとは何ですか?
当院では、UCLA歯学部小川隆広教授が研究、開発した光機能化インプラントを大分県では唯一導入、実践を行っています。インプラントはチタン金属でできています。それはチタンが骨と結合し、それにより咬む力に耐えることができるからインプラントが発展してきたのです。しかしチタンの性質として欠点が発見されました。それがチタンエイジングといって空気中の炭素がチタンに着き、その炭素が骨と結合する能力を極端に劣化させることが分かりました。つまり、インプラントの成功率が空気中の炭素によって落ちるということなのです。そしてその炭素を除去し、インプラントの性能を最大限に引き上げる技術が光機能化インプラントなのです。製造直後のインプラントは炭素がついていませんが、歯科医師が実際にインプラントを使用するまでにはかなりの炭素がインプラントに着いてしまっています。スマイルライン歯科ではインプラントオペ直前に、使用するインプラントに光機能化を行い、患者さんに安心してオペを行えるようにしています。
光機能化インプラントの実際の写真
光機能化を行うとインプラントの濡れがよくなり血液が付きやすくなります
血液に触れた瞬間からネジやまに血液が上がってきているのがわかるとおもいます
これによりインプラントの骨に結合する強さ、早さが劇的に改善し、
より患者さんに自信をもってインプラント治療を提供すること可能となりました。
Q6 インプラントを入れるとその後MRIやCTがとれないと聞きましたが。
インプラントはチタンでできた金属なので、基本的に金属に対してMRIがとれないということはありません。磁石を使用したインプラントでも磁石は取り外しのできる義歯側につけて、インプラントは磁石を付けるステンレスなどの金属を使用するので義歯を外せばMRIの撮影はできます。また、CTですが、脳のCTを取る場合にはインプラント部は影響ない範囲なので影響は全くないと考えられます。
ですから結論をいうと安心してMRI,CT撮影ができると考えてもらっていいでしょう
1.インプラントの手術 1,2時間程度で終わります。麻酔は局所麻酔です。
2.埋入したインプラントは縫合して骨に付く(オッセオインテグレーションといいます)のを待ちます。期間は3〜6ヶ月です。
3.骨が付いたら再度歯肉を切開して(2次オペれーションといいます)アバットメント(土台)をインプラントの上に付けて型をとります
4.歯が入ります(歯ができるまでは型を取って1か月くらいです)
インプラントの治療の流れを教えて下さい
1次オペ
インプラント
埋入
当日
縫合
3か月〜6か月
2次オペ切開
補綴物セット