スマイルライン歯科インプラントセンターの視点
スマイルライン歯科インプラントセンターの視点
母親の歯が折れた!!!
2014年5月2日金曜日
日本が高齢化社会になり、歯科ではどのような変化が起こるか?考えてみました。まず最近医科では二人に一人が癌になるというショッキングなデータが発表されていましたが、これも高齢化社会故のデータなのです。人間は高齢化になるほど癌になりやすくなります。今まで癌は生活習慣の結果や遺伝と言われていましたが、高齢化も癌の一因であり、昨今の高齢化により日本人の癌化が増えて結果二人に一人が癌になると言われてきているのです。逆に言うと別に若い人が癌になりやすくなっているとか日本の生活環境が癌になりやすくしているというというわけではないということですが。そこで歯科では歯周病の罹患率が増えていくでしょう。これは昔では抜歯していた歯を残すようになり、歯周病の患者が増えてきていると思います。(高齢化以外にも食生活の変化なども考えれます)また高齢化により今回のうちの母親のようにつまづいて歯を打って歯がおれたなどの歯の外傷もふえると思います。(勿論それに伴う腕の骨折なども増えるでしょうが)
歯が折れたとき、歯が完全に脱落したときはその抜けた歯はすぐによく洗って牛乳やポカリスエットに入れて保存してください。(なければ水でもよいですが)
そして1,2時間以内に歯医者さんにいってもらえれば残すことが可能です。
今回の母親の場合は根っ子は残ったまま上の部分が折れたのでそれは、のこしてもどうしようもなかったのですが。
話は歯周病にもどりますが、高齢化により歯周病になる人が増えるとどうなるか?そうなると、口腔内に歯周病菌が増え、それが肺の中に入ると誤飲性肺炎という病気になる人が増えるかもしれません。また、歯周病菌が血管に入り、心筋梗塞や脳梗塞を起こしやすくなり、それが原因で無くなる方も増えるかもしれません。ですから、歯がのこっている場合は歯周病のケアを高齢者ほど気をつけていかないといけないと考えています。
(ちなみに全部歯がなくなれば歯周病菌も口腔内にはなくなるとも言われています)
今までにどの国も経験したことがない日本の高齢化社会、外の国の見本なるような社会になればよいですが。
大分県大分市でインプラント、all on 4 矯正 の治療をするならスマイルライン歯科
受付時間 月、木、金、土 10:00〜19:00
火、日 9:00〜14:00
tel 097−592−8844
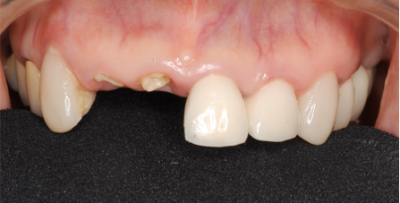
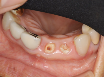
右の前歯二本がボッキリおれてしまいました。幸い歯の根っ子は折れていませんでしたから、抜歯せずに残せそうですが.........
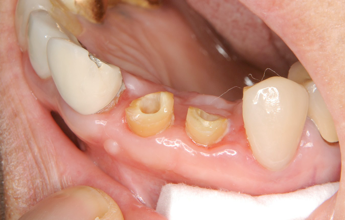
歯が折れて根っ子が少しだけ歯茎からでている状態。
虫歯でもそうですが、こうなるとこのまま差し歯をいれてもすぐ外れるといったトラブルが起こります
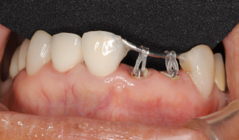
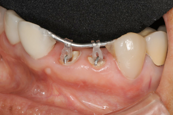
歯が1ヶ月くらいで出てきますが、歯茎もいっしょに出てくるので、余分な歯茎を取り除きます
歯茎から歯が出ました
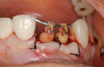
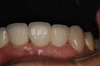
こうなるとそれに差し歯を被せれば
歯の長持ち度が全然違います
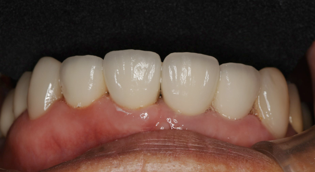
なんとか綺麗な歯が入りました。最初に歯が折れた時も差し歯はグラスファイバーの土台をいれていたので、根っ子が折れずに使えたと思います。これが保険の銀合金の硬い土台だったなら根っ子ごと折れて抜歯になっていたでしょう。