一般歯科   general dentistry
大分市 スマイルライン歯科
 

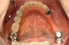
マグネット義歯

ハイブリッドセラミック充填

PMTC

(プロフェッショナルクリーニング)

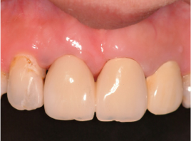
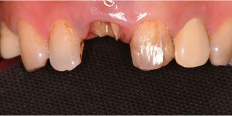
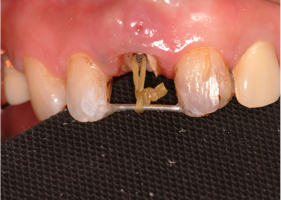
破折した歯をゴムで挺出

抜歯基準の歯を保存可能に

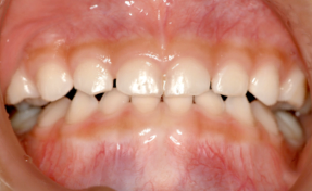
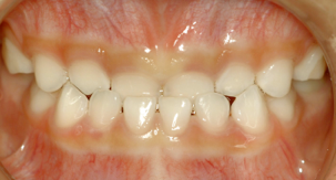
部分的矯正治療

床矯正装置(取り外し可能)で

反対咬合を正常に。

写真は5歳のお子さんです

当院のコンセプトは永続性のある治療、つまり如何に治療した歯が長く持ち、機能するかを大切にしています。そのための様々な治療のオプションがあり、選択肢を提示させていただいています。患者様のライフスタイル、価値観に合わせて様々な治療の長所、短所の
説明を心がけています

フッ素塗布、予防歯科

顕微鏡による最新の歯周病菌の検査、治療

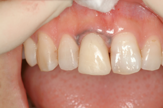
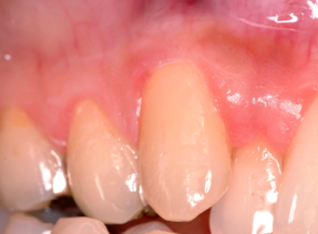
差し歯の歯肉の色が気になるということで歯を作り替えることと、歯肉漂白を行いました

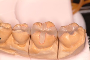
E-MAX セラミックインレー

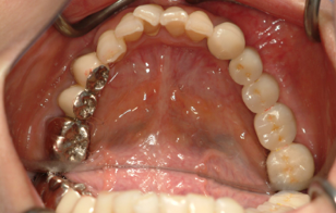
針金が見えない特殊シリコン義歯
ノンクラスプデンチャー

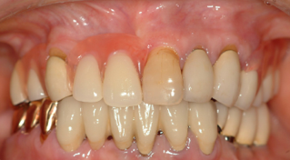
マグネットを使用した取り外し可能なブリッジ インプラントはちょっと高価で無理という方にお薦めの治療です

特殊なシリコンが適度な弾性をもつことにより

針金を無くし快適で見た目のよい入れ歯を実現

大分県大分市でインプラント、歯周病の治療に取り組む歯科医院

大分県で唯一紫外線照射インプラント治療を行っている歯科医院