審美歯科    esthetics
大分市 スマイルライン歯科
 

1.ホワイトニング     ホームホワイトニングとオフィスホワイトニングが

               あります。当院ではオパールエッセンスとビヨンド

                                         ホワイトニングシステムを使用しています。

3.プロフェッショナルクリーニング(PMTC)

                                        最近はPMTCという言葉も普及してきましたが

             プロフェッショナルトゥースクリーニングの略で

             歯ブラシではとれない細かい汚れなどを除去し、

             徹底的にきれいにすることです。歯周病や虫歯予防

             にもなります。

審美とは見た目をきれいにすること、本来あったもとの状態に戻すことが範疇に含まれます。治療内容としては矯正歯科、審美補綴、ホワイトニング、プロフェッショナルクリーニングなどが具体的に挙げれられます。見た目をよくすると言うことは自分自身のコンプレックスを解消することによる精神的な喜びも得られると思います。また審美とは理想的な状態に歯を改善することも考えますので、より機能的な歯になることにより、より健康的で長持ちする歯になるという目的が含まれます。

ホワイトニング前

ホワイトニング後

ホワイトニング前

ホワイトニング後

当院症例参考写真

PMTC前

PMTC後

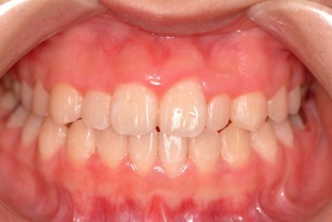
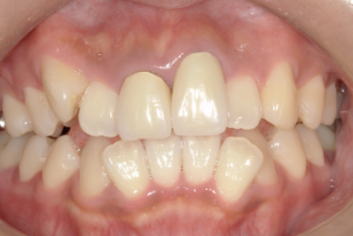
4.矯正歯科        歯の見た目を良くする最も最善な方法の一つに矯正

              治療があります。歯並びを良くすることは噛み合わ

                                      せを良くすることも含まれますので、より歯が長持

                                      ちすることに繋がります。

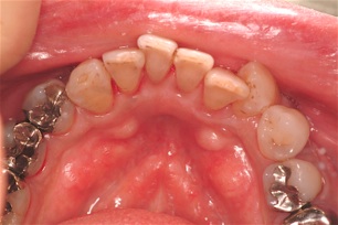
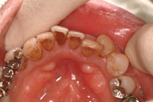
矯正前

矯正後

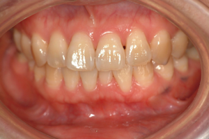
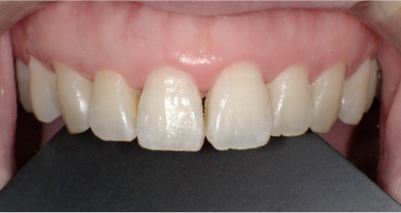
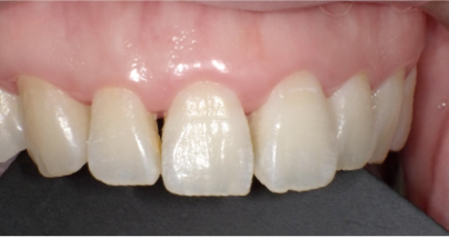
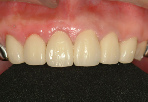
審美補綴処置前

審美補綴処置後

2.審美補綴        補綴(ほてつ)とはわかりやすく言うと被せ物の治

              療のことです。古い被せ物や色や形の悪い天然歯、

                                        歯並びを矯正治療をせずにきれいにする場合に非常

                                        に有効な治療となります。

大分県大分市でインプラント、歯周病の治療に取り組む歯科医院

大分県で光機能化インプラント治療を行っている歯科医院

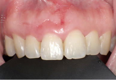
ヒアルロン酸症例

歯周病で歯肉が退縮し、ブラックトライアングルができた症例

外科処置による再生療法は患者様が希望しなかったため、ヒアルロン酸による治療をトライすることになりました

ヒアルロン酸は口唇などの小じわにも応用できます

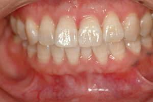
術中

麻酔ついでに半月状切開と上唇小帯切除を行いました

術後

ブラックトライアングルがなくなっているが分かります

 

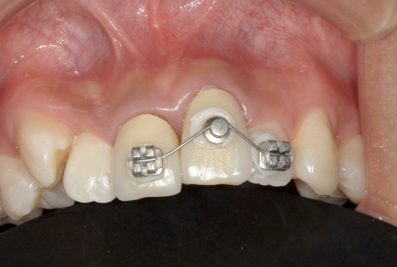
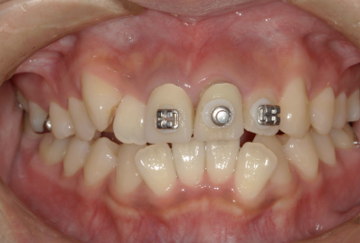
前歯の歯の長さが左右で違うのが気になる

とこられた患者様です

左の前歯をプチ矯正して動かすことにしました(費用は25000円程度)

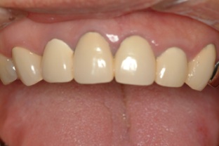
2か月後です

きれいに歯の長さが左右対称になりました

これから歯を作り替えます